Karabük’te, bir hastaya, diş kaybına karşı doğal ve etkili bir çözüm olan “diş ototransplantasyonu” yöntemi uygulandı.
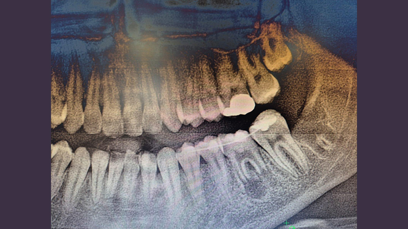
Karabük Ağız ve Diş Sağlığı Eğitim ve Araştırma Hastanesi’ne gelen 16 yaşındaki hastanın ileri düzey çürük nedeniyle tedavi amaçlı olarak bir daimi azı dişi çekildi. Çocuk yaşta çene gelişimi devam ettiği için implant uygulaması gibi yöntemlerin uygun görülmediği hastaya kendi ağzında kemik içinde gömülü halde bulunan üçüncü azı dişi (yirmi yaş dişi), Endodonti Anabilim Dalı öğretim üyesi Doç. Dr. Olcay Özdemir ile Ağız, Diş ve Çene Cerrahisi Anabilim Dalı öğretim üyesi Dr. Öğr. Üyesi Muhammed Abdullah Çege tarafından operasyon mikroskobu eşliğinde cerrahi operasyonla çıkarıldı ve hazırlanan yuvaya nakledildi.
Başarılı operasyon öncesinde ise dişin daha sağlıklı bir şekilde iyileşebilmesi için hastanın kendi kanından elde edilen PRF (kişinin kendi kanından elde edilen, hücre yenilenmesini destekleyen doğal bir biyomateryal) nakil işlemi öncesinde hazırlanan yuvaya konuldu.

